Starfish Dental Care
Starfish Dental Care
Request an Appointment
Leave a Google Review
(757) 481-3893
General and Aesthetic Dentistry
3020 Shore Drive, Virginia Beach, VA 23451
Check Out Our Spotify Playlist
Menu
Call
Book Now
Map
Home
About Us
Our Team
Services we offer
View All
Cosmetic Dentistry
Dental Implants
Orthodontic/Smile Aligners
TMJ/TMD/BOTOX
Sleep Apnea
General Dentistry
Root Canals
Periodontal Disease
Smile Gallery
Patient Info
View Patient Info
Forms
Financial
Blog Post
Contact
Starfish Dental Care
>
Smile Gallery
>
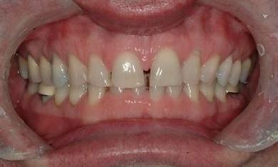
Veneers
Veneers
Return to Smile Gallery
Next
Click image to see a larger picture
Before
After
Have Questions? Get in Touch
Contact Us
If you have difficulty using our website, please
email us
or call us at
(757) 481-3893
View the
ADA Accessibility Statement
Turn on ADA Views
Privacy Policy
OK!
×
×
Contact Us Today
Give Us A Call
Starfish Dental -
(757) 481-3893
Send Us an Email
Request an Appointment
Contact Us
Ready to Schedule an Appointment?
Book Online
Have Questions? Contact Us:
Required Field
Your Name:
Phone:
Email:
Are you a new patient?:
Are you a?
New Patient
Current Patient
How would you like us to contact you?
Please choose
Email
Call
How did you hear about us?
Please choose
I'm an existing patient
Google/Bing
Mailer
Word of mouth
Social media
Other
Who Referred You?:
Appointment Preferences
Monday
Tuesday
Wednesday
Thursday
Your Message:
This site is protected by reCAPTCHA and the Google
Privacy Policy
and
Terms of Service
apply.
Sending...
×
This Patient's Experience
Loading Testimonial...
Loading Case...